NewsPrevenzioneCibi e bevande acide possono intaccare lo smalto dei denti?5 Settembre 2018by ischarlie
NewsPrevenzioneAnche la salute orale può trarre giovamento dall’esercizio fisico!28 Agosto 2018by ischarlie
CuriositàNewsPrevenzioneGengive infiammate e sanguinanti durante la gravidanza?7 Agosto 2018by ischarlie
NewspedodonziaPrevenzioneConosci gli strumenti adatti per la salute orale del tuo bambino?1 Giugno 2018by ischarlie
NewsPrevenzioneLe sigarette elettroniche sono dannose per la salute parodontale?29 Maggio 2018by ischarlie
CuriositàNewsAl ritorno delle vacanze estive…La ridensificazione dermica!14 Settembre 2017by ischarlie
NewsPrestazioniCONE BEAM: Per un miglior approfondimento diagnostico radiografico1 Settembre 2017by ischarlie
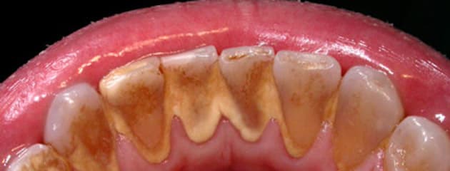
CarieNewsPrevenzioneBastano sei denti sporchi per mettere a rischio la nostra salute?15 Luglio 2017by ischarlie
CarieNewsPrevenzioneIl collutorio può essere utile a curare le infiammazioni gengivali?22 Giugno 2017by ischarlie
CuriositàNewsPiercing al labbro e alla lingua? Ma fanno male al nostro cavo orale?28 Febbraio 2017by ischarlie
CarieNewspedodonziaPiccoli segreti per la pulizia dei denti dei nostri bimbi!20 Maggio 2016by ischarlie